|
「8歲男孩長了雙排牙」
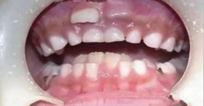
近期,一位8歲男孩的媽媽為兒子換牙問題煩惱不已。
兒子上一年級後,班上其他同學都開始換牙了,他卻一直沒動靜,直到8歲他才開始出現換牙跡象。由於舊的乳牙沒有及時脫落,下牙齒中間長出的兩顆新牙被擠成倒八字的形狀生長,中間還產生了半個牙的空隙,乍看上去就像兩排異形的牙,就是「雙排牙」!

(圖片來自網路,圖文無關)
「什麼是雙排牙」
一般情況下,孩子6、7歲時,乳牙就完成使命,自動脫落,隨後恆牙逐漸萌出,成為孩子一輩子的好夥伴。但是,有些孩子恆牙已經長出來了,而相應的乳牙卻不肯「退位讓賢」,恆牙被迫從乳牙後麵「委曲求全」,從而形成一前一後兩層牙齒。
都開始換牙了,他卻一直沒動靜,直到8歲他才開始出現換牙跡象。
| sponsored ads |
|
|
| sponsored ads |
由於舊的乳牙沒有及時脫落,下牙齒中間長出的兩顆新牙被擠成倒八字的形狀生長,中間還產生了半個牙的空隙,乍看上去就像兩排異形的牙,就是「雙排牙」!

(圖片來自網路,圖文無關)
近年來,「雙排牙」寶寶增多,多是因為現在的寶寶營養過剩,另外進食也過於精細、鬆軟,無法使牙齒得到足夠的鍛煉。而通過牙齒不斷咀嚼食物,特別是耐嚼食物,可促進乳牙牙根的生長發育以及自然吸收、脫落。

「雙排牙是怎麼形成的」
1.偏食好甜飲
2.長期食用流質
3.飲食過於精細
4.不願咀嚼食物
上述八歲男孩的媽媽說道:兒子從小就偏食、好甜飲,把牛奶等甜乳製品當水喝,一天三、四瓶。在檢查中醫生髮現,乳牙牙根已經暴露於牙齦粘膜之外,容易導致附近口腔粘膜創傷性潰瘍。當務之急,需要實施局部麻醉拔出乳牙。
「如何預防寶寶雙排牙」
1、換牙期的寶寶應該多吃一些粗糧和未經細緻加工的食物,鼓勵孩子多吃些硬質粗纖維食物比如豆類、甘蔗、玉米等等。

2、在發育期的寶寶,爸媽應該監督寶寶糾正不良習慣:咬唇、咬舌、吹口哨、咬鉛筆等。

3、遇到乳牙滯留形成的「雙排牙」,爸媽應該儘快帶寶寶到牙科醫院拔除滯留乳牙,為恆牙的發育騰出空間讓出位置。

4、已經出現牙齒不排列不齊時,在寶寶恆牙換完之後即可進行口腔正畸治療,一般矯正的最佳年齡段在12-14歲。

5、另外,對於家裡的老人對寶寶寵愛有加,容易縱容寶寶養成生活陋習,如過度吃甜食、吃完也不願意刷牙等。
| sponsored ads |
|
|
| sponsored ads |

|