|
糖尿病是一種慢性內分泌代謝性疾病。醫學研究發現,一些缺乏典型症狀或是處於隱性期間的糖尿病人,皮膚往往會出現某些異常變化。看到下麵這些情況,一定不要掉以輕心。
▼1. 出汗多:由於糖代謝障礙,神經功能紊亂,交感神經興奮,汗腺分泌異常,糖尿病患者皮膚潮濕多汗,動不動就汗流浹背。這可能是神經病變的前兆,是糖尿病的並發症,患者應給予足夠重視。
| sponsored ads |
|
|
| sponsored ads |

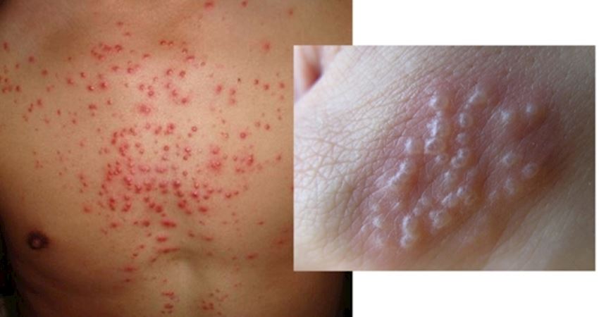
2. 毛囊炎:早期糖尿病患者體內的血糖濃度也比正常人高,皮膚組織的含糖量高,容易滋生細菌和真菌,發生感染,其中最常見的就是毛囊炎。皮膚上會出現痱子樣的炎症。這些痱子樣的小疙瘩裡麵有膿液,觸摸時會痛,把膿液排出後會愈合,但會反覆發作,此起彼伏。如果不及時處理,會引起毛囊周圍炎,又叫做癤。
3. 全身或局部性瘙癢:糖尿病患者發生皮膚病或是皮膚感染的很常見,有一些患者甚至是在皮膚科看皮膚感染時,才知道患有糖尿病。
| sponsored ads |
|
|
| sponsored ads |
早期糖尿病人的皮膚瘙癢分為全身性或局部性,發病部位則不定,發病程度也不一致,但一般多發生於女陰、陰囊等部位,特別是女性外陰瘙癢更為常見。
▼4. 皮膚皰疹:糖尿病人身體抵抗力差,皮膚容易感染。有的患者皮膚上會長水皰,裡麵有透明的漿液,多出現在手腳上。雖然水皰幾周內就可愈合,但會反覆出現。

5. 感覺異常:一些人四肢皮膚經常有麻木灼熱感,也有人四肢疼痛,穿衣服和蓋被子的時候疼得更厲害。
| sponsored ads |
|
|
| sponsored ads |
長期高血糖可引起神經係統並發症,但有些患者出現感覺異常後仍然不知道自己有糖尿病。
平時做到下麵這12點,一生都不會得糖尿病。
1. 一周吃快餐不超過2次:美國研究發現,每周吃快餐2次以上,身體器官對胰島素的敏感性降低一倍。
▼2. 看清食物的高纖維標誌。有高纖維標誌的食物,裡麵至少含有5克粗纖維,可降低乳腺癌、糖尿病、高血壓及中風危險。
| sponsored ads |
|
|
| sponsored ads |

3. 多喝咖啡:哈佛大學公共衛生學院研究發現,每天6杯咖啡,糖尿病危險降低29%-54%;每天4-5杯,降低約29%;但每天1-3杯則幾乎不起作用。
4. 每天走路35分鐘:芬蘭研究發現,走路可讓體內胰島素得到最大效果利用。每周走路4小時,每天35分鐘,可使糖尿病危險降低80%。
▼5. 減重5%:就算你很胖,也沒有鍛煉的習慣,只要減去5%的體重,患糖尿病的危險就會降低70%。

6. 吃肉前喝兩勺醋:美國亞利桑那州立大學研究發現,吃高熱量食物前喝兩勺食醋,可大大降低血糖水平。
| sponsored ads |
|
|
| sponsored ads |
如不習慣喝醋,最好飯前吃點放醋的涼拌菜。
▼7. 45歲後多關注血糖:血糖指數為100-125毫克/分升的人,10年內最易發生糖尿病。專家建議,45歲後、肥胖者、有糖尿病家族史以及高膽固醇和高血壓的人,應多關注血糖。

8. 不要獨居:很多獨居的人生活方式不健康,所以患糖尿病的風險比其他人高2. 5倍。
9. 睡眠保持在6-8小時之間:睡眠經常不足6小時的人,糖尿病危險翻番;而睡眠超過8小時的人,糖尿病危險增加3倍。
10. 做事前3次深呼吸:壓力大也可能導致血糖升高。專家建議,做任何事情前最好都先做3次緩慢的深呼吸,以減小壓力。
11. 多次肉桂:德國科學家發現,肉桂有助於降血脂,進而防止糖尿病危險。肉桂粉可撒在咖啡裡,也可以和蜂蜜一起沖水喝。
▼12. 少吃火腿香腸:每周吃5次以上火腿或香腸,糖尿病危險會增加43%,罪魁禍首是加工肉食中的添加劑。專家建議,應偶爾吃肉,多吃蔬菜。

罹患糖尿病的人越來越多,研究發現,很多人在日常生活中不注意控製血糖,這才患上了可怕的糖尿病。平時多注意一些,一定能夠身體健康。
|