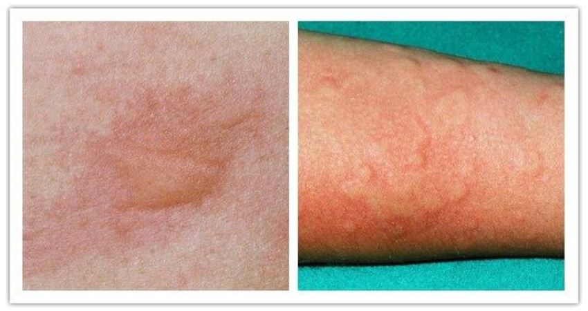
蕁麻疹是一種由於人體皮膚、黏膜小血管擴張及滲透性增加而出現的一種局限性水腫反應,這是一種非常常見的人體皮膚免疫性疾病,其之所以非常的常見,主要原因是因為這種疾病的誘發因素非常的多。那麼,引起做蕁麻疹的原因到底有哪些呢?

第一、食物。有些人會對一些食物,比如魚、蝦、蛋類、奶類等等,可能會有一些過敏反應,就容易引起蕁麻疹的病發。
第二、某些藥物。有兩類藥物可能會引起蕁麻疹的病發,一類是可形成抗原的藥物,比如青黴素、血清、疫苗、磺胺、痢特靈等;還有一種是組胺釋放劑,比如阿司匹林、嗎啡、可待因、度冷丁等。
| sponsored ads |
|
|
| sponsored ads |
所以,是藥三分毒,人們一定要特別注重一些藥物的服用,一定要聽從醫囑。

第三、感染。某些病毒性疾病容易導致人體感染從而引發蕁麻疹,比如人體呼吸道感染的病毒。
第四、吸入物。人體可能因為呼吸的空氣中的花粉、灰塵、動物皮屑以及某些化學物質的含量過高,從而引起蕁麻疹的病發。
| sponsored ads |
|
|
| sponsored ads |
第五、物理因素。某些物理因素,比如強烈日光的照射,或者接觸了某些容易導致人敏感的金屬物質,都有可能引起蕁麻疹。此外,一些昆蟲的叮咬或者接觸了一些蕁麻物質也有可能導致蕁麻疹。
現在,雖然蕁麻疹可以得到有效的治療,但是蕁麻疹的預防對於人來說也是非常重要的。那麼,蕁麻疹應該如何預防呢?
第一,人們首先要在日常生活中注意衛生。
| sponsored ads |
|
|
| sponsored ads |
因為蕁麻疹很多都是因為接觸了一些過敏物質而引起的,所以人們要特別注意保持室內外的清潔衛生,對於一些過敏性物質,比如寵物的毛發、花粉、粉塵等都要能夠有效的避免接觸。

第二,有蕁麻疹病發情況的患者,要注意不能讓自己的身體時冷時熱,溫度的快速變化也容易導致蕁麻疹的再次病發。
第三,人們需要保持一個科學良好的生活規律,同時加強各種體育鍛煉以有效增強身體體質,進而提高對蕁麻疹的免疫力。
第四,蕁麻疹患者在飲食上要注意盡量不吃動物蛋白性食物和海鮮發物,盡量少吃或不吃辛辣刺激性的食物,不飲酒,飲食盡量保持清淡,日常生活中多吃新鮮蔬菜和水果,以補充各種維生素和礦物質。
參考來源
文章來源: https://www.toutiao.com/i6507939567050424839/
|