| 當牙齦出現這種症狀表示大病來臨了!千萬記住「這7個徵兆」,發病了後悔也來不及! |
| |
|
當牙齦出現這種症狀表示大病來臨了!千萬記住「這7個徵兆」,發病了後悔也來不及! 觀看人數:170
|
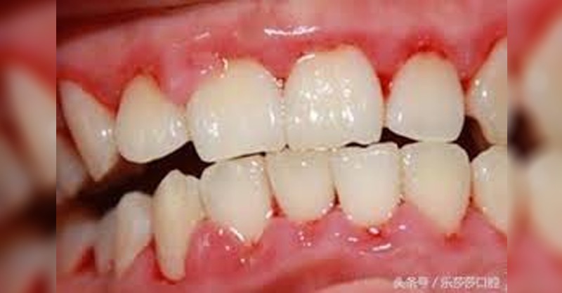
人的血糖如果控製不好,就會影響牙周組織血管麼變化及代謝,加重牙周病,從而出現牙齦出血。
第三、出現突然性的長時間身體發熱。
|
| sponsored ads |
| sponsored ads |
如果人的體重在短時間內急劇下降,就很有可能是患有腫瘤。
糖尿病患者也會出現體重突然減輕的情況,糖尿病人血液中的糖利用不足,會導致人體的能量供應主要來自人體儲存的脂肪和蛋白質。

對於下肢無力的癥狀,可能是人體出現腦血管疾病,如腦梗死、腦出血等非常危險的疾病,一定要引起注意,及時治療。
還有些人下肢無力伴有腰腿疼,則可能是腰椎的問題。
| sponsored ads |
| sponsored ads |
一旦有心慌、心跳過速等情況時,就很有可能是心臟病變,所有人都可能出現這種早博的癥狀。
當人體甲狀腺功能亢進時,甲狀腺素就會對人體心臟作用,就可能導致心臟擴大、心絞痛甚至心肌梗死、心肌病等。

| sponsored ads |
| sponsored ads |
突然眼前發黑、視物重影、單眼視物不清以及身體局部麻痹等癥狀,對於中老年人來說,很可能是中風的前兆。
當然,如果沒有按時進餐,出現低血糖癥狀,也會有出現頭暈、眼前發黑、心慌等癥狀。
低血壓也會有眼前發黑的癥狀,長期低血壓對人體是有很大傷害的。
|
|