年輕的媽媽對寶寶什麼時候長牙都十分的關注,但是沒有多少媽媽對寶寶長出的乳牙做到精心嗬護,很多媽媽都認為乳牙是不必管的,因為孩子以後會換一口恒牙,這種觀點是不科學的,會長爸比負責人的告訴你,從寶寶長出第一顆乳牙的時候,媽媽就應該為孩子做好護牙的工作。  什麼是乳牙? 寶寶出生後第一口長出的牙齒稱為乳牙,俗稱“奶牙”。寶寶的乳牙一共有20顆,通常在6~7個月長出人生的第一顆乳牙。不過寶寶的乳牙萌出時間有很大的個體差異,第一牙萌出的時間早的寶寶4個月就能長出,而出牙較晚的寶寶11個月才會長出第一顆牙。 很多媽媽認為寶寶乳牙出得晚是因為缺鈣,雖然牙齒中鈣含量比較高,但是乳牙出得晚和缺鈣關係並不大,如果寶寶周歲還未萌出第一顆乳牙,那麼最好去醫院檢查一下。 乳牙的作用什麼? 乳牙雖然在寶寶6歲左右就會脫落而換上恒牙,但並不表示乳牙沒有作用。乳牙在寶寶的整個發育中有著重要的重要。 1、乳牙是寶寶咀嚼器官重要的組成部分 寶寶生長發育旺盛,在快速生長期需要營養的支撐,這一切都需要乳牙的咀嚼,如果乳牙受到了損害則會嚴重影響寶寶的進食,嚴重的還可能造成寶寶營養不良。
| sponsored ads |
|
|
| sponsored ads |
2、乳牙的健康會影響寶寶頜面部的發育
寶寶利用乳牙進行咀嚼,從而對面部肌肉進行鍛煉,促進寶寶頜面部的發育。 3、乳牙對恒牙的萌出起到“嚮導”作用 寶寶通常在6歲的時候就會開始換牙,萌出的恒牙是在乳牙的基礎上長出的,如果乳牙過早的脫落則會導致恒牙失去“嚮導”,發生位置的偏離,最後長出的牙齒就不能整齊的排列。  忽視乳牙的護理有何危害? 乳牙對寶寶的發育是重要的,如果不注重寶寶的乳牙保護,不管是對寶寶的生理還是心理都會造成一定的影響,媽媽一定要注意了。 1、影響消化,造成偏食 咀嚼是寶寶消化的第一步,如果寶寶乳牙受到了損害,那麼必然影響寶寶消化,各種消化不良的疾病必定會“接踵而至”。同時,寶寶會為了避免牙齒的疼痛而拒絕食用某些事物,長此以往很可能養成挑食等不良的飲食習慣。 2、不利於寶寶正確發音 寶寶的乳牙特別是門牙脫落過早的話,對寶寶的發音影響也有一定影響的,據科學研究表明,擁有健康乳牙的寶寶比那些乳牙護理不到位的寶寶更早學會說話。  3、影響寶寶恒牙的發育 寶寶的乳牙是恒牙發育的“嚮導”,恒牙會沿著寶寶乳牙的軌跡進行萌出,如果不注意恒牙的保護而導致恒牙過早的脫落,那麼恒牙的發育就得不到它應有的空間變得參差不齊。
| sponsored ads |
|
|
| sponsored ads |
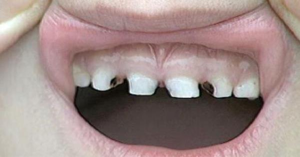
同時,乳牙的過早脫落會造成對牙根的使用過度,在此基礎上長出的恒牙也不會牢固。 4、乳牙齲齒危害很大 不注意乳牙的保護,很容易造成寶寶的患上齲齒。很多媽媽覺得乳牙得了齲齒不重要,因為遲早要掉,但實際上乳牙齲齒會嚴重影響寶寶的咀嚼能力,影響恒牙發育的美觀,影響寶寶頜骨發育,嚴重乳牙的齲齒還可能是“變形鏈球菌”(齲齒的致病菌)進入血液循環,影響寶寶的心臟,腎臟等器官的健康。 如何嗬護寶寶的乳牙? 寶寶的乳牙保護必須從第一顆乳牙萌出開始!媽媽們一定要記住,如果你已經忽視了寶寶第一顆牙的保護,那麼接下來的工作一定不要忘。 1、正確鍛煉寶寶的咀嚼能力 寶寶天生喜歡甜味的食品,所以在媽媽往往喜歡給寶寶過多的果汁等比較甜的飲品,但實際上大多數沖調的果汁都含有大量的糖分,對寶寶乳牙的傷害較大,與其給寶寶喂果汁,不如給寶寶餵食可以咀嚼的水果(太小的嬰兒除外),這樣既可以鍛煉寶寶乳牙的咀嚼能力,又可以減少糖分對乳牙的侵蝕。 儘量少或者不要給寶寶食用鹼性離子飲料和碳酸類飲料。乳酸菌飲料中也含有大量的糖分和酸性離子,也儘量給寶寶少喝。 2、注意寶寶手部衛生 寶寶在乳牙萌出期喜歡將手等食物放進嘴裡,這是正常的現象,但是媽媽要注意給寶寶勤洗手,這樣才能保證手部健康,預防寶寶將手上的細菌帶進口腔,影響乳牙的健康。 3、戒掉寶寶含著奶瓶入睡的習慣 無論如何,寶寶含著奶瓶 入睡的習慣要及早戒掉。奶類食品是細菌最好的繁殖養料,寶寶含著奶瓶睡覺很容易將細菌帶入口腔,引起嚴重的奶瓶齲,所以讓寶寶戒掉含奶瓶入睡的習慣對寶寶的乳牙保護極其重要。
| sponsored ads |
|
|
| sponsored ads |
4、從小養成寶寶注意口腔清潔的習慣 當寶寶第一顆牙齒萌出之後,媽媽最好就要在寶寶喝完奶後為寶寶清潔下牙齒,常規的做法是可以用柔軟的紗布、口腔濕巾或者指套牙刷輕柔的為寶寶清潔牙齒;當寶寶一周歲後要養成每餐飯後清潔牙齒的習慣;寶寶兩歲後就可以教寶寶刷牙了,這個時候選用健康的兒童牙膏與牙刷教寶寶早晚刷牙和飯後漱口都是有益的。 需要注意的是一定要堅持執行下去,從小養成良好的口腔衛生習慣對寶寶的牙齒健康十分有益,一口好牙也能讓寶寶更加的自信。 5、不能忽略寶寶乳牙齲齒的治療 很多媽媽認為,乳牙反正要換,所以即便得了齲齒也無所謂。這個想法是錯誤的,乳牙是恒牙的基礎,如果乳牙得了齲齒對恒牙也會產生影響,比如牙齒參差不齊影響美觀、造成恒牙不堅固、影響寶寶自信等等。 當發現寶寶有齲齒時,一定要重視,及時就醫尋求專業的解決方法,在乳牙階段就消滅齲齒比以後的彌補更加重要。
|