秋季癢或是冬季癢,多半是乾燥發炎的結果(當然也可能與其它疾病混淆,比方秋天也容易發作的蕁麻疹,或是先天乾燥的魚鱗症)。這個「狀態」的正式學名是「缺脂性皮膚炎;asteatotic dermatitis」;顧名思義,就是「皮脂過少造成的皮膚發炎」。

討論「皮脂過少」的發作原因前,我們先討論「皮膚炎」。這個名詞更常聽到的是「醫師說濕疹」。基於教育的理由,我被迫成為很囉唆的講者,一定要解釋清楚:
「『濕疹』是一個『垃圾桶名詞』。事實上,濕疹意指不明原因的皮膚炎。
| sponsored ads |
|
|
| sponsored ads |
然而皮膚發炎一定有原因,除非醫師沒有時間/不願意或無法找出皮膚發炎的答案,才會給予『你得到的是濕疹』這樣的說法;就像把這個疾病(<=病患!?)丟到垃圾桶一樣。
我們的同胞對於醫療常常表現出『很善良』卻『很不講理』的要求。對於『快速看診』的醫師,對於『這是濕疹』然後就開藥的醫師,我們到處宣揚『那位醫師病患很多,顯然醫術甚佳』;幾次門診之後卻抱怨『看診太快,沒有機會溝通』或者『只拿了藥,醫師沒有說明病名』。
如果不是『很善良』,我們怎麼會同意員警以『該男子已經死亡』來敷衍我們?如果不是『很不講理』,我們怎麼會同時要求『名醫」一方面『病患很多,看診迅速』,一方面『反覆評估,詳細解釋』?
換句話說,如果您才『剛剛坐下來』,『稍微』看診一下,醫師就告訴您『濕疹』的答案,您大概就知道……又被……」(醫師,我得到濕疹~談一個「不完全正確的名詞」)
這段話的意思,更簡潔地說,就是:「濕疹=莫名皮膚發炎」。醫師不該隨意給予「濕疹」的診斷,應該盡力尋找原因。比方說手錶接觸性皮膚炎(「手錶接觸性濕疹」)、化妝品接觸性皮膚炎(「化妝品接觸性濕疹」)……把「濕疹」冠上發生原因(即便未必準確),才能真正幫助患者治療與預防——被診斷為「手錶接觸性濕疹」之後,您才知道必須謹慎注意手錶使用,以避免下次的濕疹復發。
| sponsored ads |
|
|
| sponsored ads |
知道原因,才有預防復發的對策。
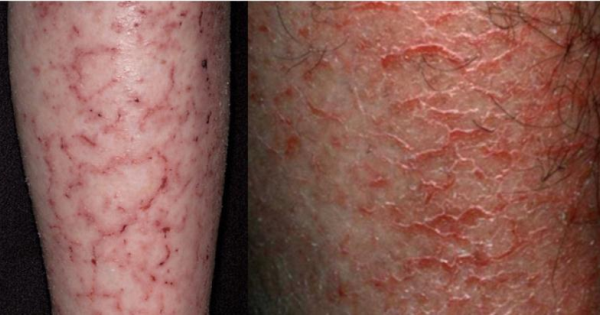
回頭談「缺脂性皮膚炎」。我們都知道所謂「保濕」,嚴格看至少包括「角質滋潤≒補水」與「皮脂膜維護≒鎖水」兩大部分。當皮膚因為遺傳或後天因素,皮脂膜結構中的遊離脂肪酸缺少時,無論如何「補水」,缺乏良好皮脂膜屏障,水分很快地蒸散於空氣中,結果又變成乾燥。這就是「乾燥性皮膚炎」(秋季癢、冬季濕疹、缺脂性皮炎……)。
既然皮膚缺乏良好保水能力,當然會有乾燥、龜裂的外觀。偶而搔抓出了傷口,可能略有急性濕疹的顯組織液滲出現象。因為秋冬外界環境較為乾冷,加上天氣冷的熱水沖澡、溫泉浸泡等,對皮脂膜溶解、殺傷更強的清潔措施;您提到的「為什麼有些人在冬天還是會尤其覺得皮膚癢?」其實是常見的臨床門診現象。
| sponsored ads |
|
|
| sponsored ads |
詳細討論「天然保護膜缺損」的後續發展
如前所述,缺脂性皮膚炎患者角質結構本來就有些缺陷——遊離脂肪酸等脂質減少的結果,皮膚水分大幅蒸發(正式名稱是:經皮水分散失率;trans-epidermal water loss rate;TEWL)。當表皮外層角質乾燥脫水之後,緊密角質板結構更易破壞,除了龜裂之外,也會因此掀起、脫離(俗稱的「脫屑」或「起皮」)。隨著皮膚保護力下降,皮膚開始發炎、紅腫充血。血管擴張使得真皮充水,後者又讓TEWL更形惡化。水分蒸發之後,進一步的乾燥使發炎現象更明顯,開始出現癢感。搔抓與蒸發共同惡化了真皮健康,開始出現微血管出血。微血管出血與傷口,進一步讓TEWL……
接下來參與的角色就更多了——破損的皮脂屏障無法阻擋物理與化學、生物因數的侵入,所以我們看到「對冷熱等物理性質的敏感不耐」、「對酸鹼等化學性質的刺激不耐」與「沒事就出現這裡一顆、那裡一片的毛囊炎、紅腫或病毒疣等異體入侵」。
知道了致病原因,那些人容易發作呢?
從邏輯上說,「缺乏皮脂」可以導因於「原來就不夠」以及「原來是夠的,浪費太多了」兩個狀態。
先討論「原來就不夠」、「無能為力」的情況。
這些情況包括了體質缺陷(先天比較乾燥或先天絕對幹燥,以及異位性皮膚炎的患者)、年紀老化、居住環境十分乾燥(內陸與沙漠,還有鎮日空調的上班族)與女性(雄性素會幫助男性生產比較多的皮脂)或者血液惡質狀態(dyscrasia;或稱惡液質、惡病質或惡病體質。
| sponsored ads |
|
|
| sponsored ads |
癌末或某些藥物使用患者的極度衰弱表現)甚至是營養不良族群(非洲大陸的難民?)。這些「(先天或後天)基礎不良」的情況,都造成皮脂基本不足的窘境。這樣的窘境,也許是難以處理的本質存在,基本上我們可以理解與原諒。
至於「原來是夠的,浪費太多了」,臨床發現泰半是年輕女性潔癖問題,或「中、壯年」、「高帥富」開始大量泡澡、溫泉。這些原先可以避免的傷害,竟然硬生生出現,就不是醫師願意諒解的了。
就台灣的海島環境觀察,只要不刻意破壞,男性小腿皮膚(最早乾燥的區域)最晚到40歲都不需要使用保濕乳液。女性提早一些,也可以撐到35歲左右。
(各位如果不相信,回去問您的阿公、阿嬤,「當年」他們三十多歲的時候,有沒有小腿乾燥的問題?答案多半是……沒有!)
(其次的可能答案是:臭小子,誰記得呀?)
請各位想想看,即便是油膩膩的飯後碗盤,經過大量刷洗、熱水浸泡後,就會清潔溜溜、乾乾澀澀。您的皮膚難道比碗盤更強壯?各位仗恃自己年輕,皮膚仍舊強壯,仍舊具有完整皮脂膜,因此堅持「努力浸泡溫泉+用力搓洗皮膚」的錯誤,當然會強烈傷害皮膚。假設天天堅持這種錯誤,皮脂膜永遠沒有緩衝的修復時間,「早老型冬季癢」當然會找上門!
先確立不破壞,才夠資格談建設!
要減少冬季癢的乾燥程度與發作頻率,首先必須絕對避免傷害。
| sponsored ads |
|
|
| sponsored ads |
有些人以為「用力洗搓之後,再擦擦乳液就行了」。
請各位想像一下:角質層結構如同書本,由六十到一百層的平鋪角質板堆棧而成。「書頁」與「書頁」之間以皮脂為主的天然保濕物質相互沾黏。這些天然保濕結構,除了讓角質板平滑柔順,緊密伏貼之外,也作為皮膚水分蒸發與外物滲入的隔離屏障。「浸泡熱水」會使較深層油脂溶解流出,「用力搓揉」又破壞較外層物理屏壁。二者相加的效應,即便事後給予乳液補充,這些外來油脂滲入既難,延展又窄,怎樣也難以與深部向外流失的巨大損失相比。這種「日損一百,補給二十的虧本生意,就是各位「又泡又搓,又擦乳液;結果還是乾燥」的主要原因。
因此想避免皮膚乾燥,第一要事就是:不傷害!
關於「不傷害」,再補充些特殊觀察與思考:乾燥當然引起搔癢;建議以拍打或冷敷方式止癢,絕對不要搔抓患部,以免加重損傷脆弱的皮脂膜。也有些朋友使用薄荷油等清涼產品,只要皮膚沒有明顯傷口,產品對皮膚的刺激性不太大,勉強算是可接受的行為。
另外,緊身衣物與摩擦行為也應該避免。「熱水+摩擦=洗澡」,穿著緊身衣跳熱瑜珈或跑步,當然會惡化皮膚乾燥問題。
保養品與藥品,孰主孰副?
從前面的討論,我們知道缺脂性皮膚炎主要是皮膚年老或傷害後,皮脂脫失出現的乾燥結果。換句話說,「皮脂脫失」是致病因素,也是切入重點。接著「不傷害」的議題,我們又確認了「建設不如不破壞」這個主軸。走筆至此,我們可以給個簡單結論:
「有皮脂的,儘可能不要洗掉。缺乏皮脂的,補充安全皮脂」
從這個結論看,各位可以發現「預防重於治療」,甚至是「食補」與「藥補」差異的觀念無所不在——如果照顧得好,未必需要藥物。所謂「照顧」,請容許我千叮嚀、萬交代:
「不傷害」是最重要的照顧,其次才是補充乳液。
而且「補充乳液」這件事,幾年肌膚監測臨床經驗發現,市售乳液的乳化劑(介面活性劑)、香料與防腐劑……等,都可以能對已經脆弱、遮罩損傷的皮膚產生長期影響。其中防腐劑為人詬病或汙名化,香料也已經「惡名昭彰」;然而乳化劑對皮膚屏障的傷害,特別是長期滲入的健康影響與實際風險,除了我們之外,鮮少有人紮紮實實地監測。這部分,也是我們提出「如果對保養品的長期安全沒有把握,寧可使用食用不飽和植物油」的理論依據。
什麼情況下必須使用藥物?
這個問題,可以分成二段回答:
① 出現細菌感染等二度狀態(非單純原始乾燥),建議使用抗生素等外用藥物:甚至在非常不得已的、極為激烈癢感時,我也不反對局部使用類固醇藥膏。
身為傳統西醫皮膚科醫師,我對類固醇的態度從「可以使用」變成「少用沒有關係」,再變成「能不用,就不用」,直到肌膚監測後的「儘量不要使用」。其中心路歷程確實有些辛苦,我自己都在調適中。但是從臨床觀察與反省,加上肌膚監測過程的懷疑,我們確實儘可能不給予類固醇製劑,希望讓皮膚恢復自身的反應能力。這故事太長,就不在這裡贅述。
② 無法抑製的癢感發生時,可以使用口服抗組織胺等止癢藥品:編輯提到了「很多人不想的時候不撓,一想到癢?或者碰到一下就癢到不行,止不住地想繼續撓?為何到了晚上才會癢,而不是在白天繁忙的時候可能感覺不強烈?」這些現象,臨床是可以解釋的。一般來說,除非已經有傷口,正在結痂癒合,乾燥造成的癢感相對輕微,白天緊張忙碌工作時不會注意到,等到夜深人靜,精神放鬆時,才忽然發現局部的輕微癢感,然後……愈搔愈癢、愈癢愈搔,直到皮膚破損、天荒地老。
與「痛感」類似,「癢感」其實是身體警報的一部份。如果我們確定這樣的「夜間癢感」是不必要的,加上已經減輕洗澡強度(包括洗溫水、不搓揉、降低肥皂與沐浴乳的使用,還有不浸泡、快速沖洗……等),適度使用口服止癢藥物,對於減少進一步傷害是有意義的。
關於「秋天癢與冬季癢」的結論:
隨著時代的進步,現代人的勞作減少,皮膚變得較為細緻,卻也比較不強悍。加上化妝品、保養品廣告與觀念漫天飛舞,連「體香劑」都出來湊熱鬧!如果再思考「冬天泡泡溫泉吧,可以舒暢身心」的休閒風潮,「過度洗滌」必定成為現代人難以避免的傷害。
身為皮膚科醫師,個人一整年肥皂/沐浴乳消耗量不超過100毫升,而且絕大部分使用在眼鏡的清潔上。四、五年來,即便接近半百,我的乳液使用量雖然不多,皮膚卻老化得慢,而且身上也沒有特殊異味。
(去看看您的沐浴乳胖胖瓶吧,最小的是250毫升,還有1250毫升的家庭號呢!)
如果您執著「美國人都這樣洗」、「瑞士人的沐浴乳真正好」,請反思我們的民族優勢:十五歲的白人姑娘一朵花,十五歲的華人姑娘一朵花。三十歲的華人姑娘一朵花,白人姑娘那朵花多半凋謝啦…… |