洗牙真的有用嗎?原來這麼多年都搞錯了!

 

 

 

google廣告

google廣告

 

google廣告

google廣告

洗牙真的有用嗎?原來這麼多年都搞錯了! 觀看人數:76  

 

 
現在有很多人害怕自己的牙齒不夠白,經常會去洗牙,其實經常性的去洗牙的話,不僅僅保護不了自己的牙齒,而且會帶來一定的健康威脅的,那您知道洗牙導致牙結石的原因是什麼嗎?您知道牙結石的治療護理嗎?今天就為您介紹一下有關牙結石的預防方法的知識,感興趣的朋友們趕快來看看啊。

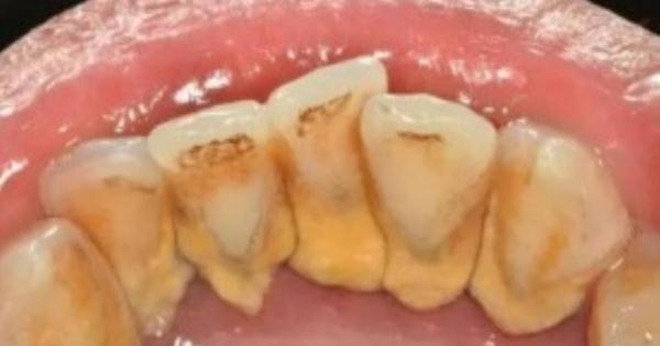
翻拍光明網下同
洗牙導致牙結石的原因
牙結石形成的原因及其分度方法
口腔中牙結石的出現,主要是人的唾液中所含的礦物質,與口腔內的酸性分泌物產生反應而來;

人的生理需要決定了人每天都必須分泌大量唾液,由於唾液分泌,唾液中的礦物質具備了跟口腔酸性液體長期持續反應的條件,這種長期反應的結果,產生酸性化合物,成為牙「石」的形成原因;
這些反應物很容易附著在牙齒背面,或牙齦與牙齒結合處等刷牙也難以清潔的位置,時間長了,就變成頑固難除的衍生物—牙結石。
牙結石通常存在於唾液腺開口處的牙齒表面(如下顎前牙的舌側表面,上顎後牙的頰側表面)和牙齒的頸部,以及口腔粘膜運動不到的牙齒表面等處。牙結石開始時是軟軟的,會因逐漸的鈣化而變硬。

它是由75%的磷酸鈣,15-25%的水、有機物、磷酸錳、礦酸鈣及微量的鉀、鈉、鐵所構成。並呈現出黃色、棕色、或者黑色。

sponsored ads
sponsored ads



它形成的原因有好幾種說法
一、由於唾液中的二氧化碳濃度降低,促使無機鹽沉澱於牙齒表面上。
二、由於退化細胞的磷酸鹽酵素使有機磷水解產生磷沉澱於牙齒表面而形成。

三、由於細菌使唾液的酸鹼值升高而呈鹼性,造成唾液中的蛋白質分解,放出鈣鹽,沉澱於牙齒表面上而成。
四、與口水濃度有關,濃度愈大,愈易沉澱。
牙結石形成的速度、形態和硬度因人而異,一般來說新生的牙結石需要十二至十五小時。快速形成的牙結石要比慢慢形成的牙結石要軟且碎。

sponsored ads
sponsored ads


所成的牙結石都是軟軟的,經過一段時間的鈣化就會慢慢的變硬。
 
衍生物與衍生體之間,是一種介乎生理性和物理性之間的混態結合。迄今為止,好像除了洗牙,世上尚無任何辦法能將牙齒上的漬和牙石除掉,即:洗牙是唯一快速除漬除牙石的最有效手段。
牙結石對口腔而言是一種異物體,它會不斷刺激牙周組織,並會壓迫牙齦,影響血液循環,造成牙周組織的病菌感染,引起牙齦發炎萎縮,形成牙周囊袋。
當牙周囊袋形成後,更易使食物殘渣、牙菌斑和牙結石等的堆積,這種新的堆積又更進一步的破壞更深的牙周膜,如此不斷的惡性循環的結果,終至牙周支持組織全部破壞殆盡,而使牙齒難逃拔除的惡運。
怎樣預防牙結石的形成呢
刷牙是預防牙結石形成的一種簡便而又行之有效的方法。牙結石的沉積是由少到多,逐漸形成的。

經常刷牙可將剛剛開始沉積於牙面的牙垢、牙結石及時刷掉。

sponsored ads
sponsored ads


所以應該讓兒童堅持刷牙,如若等到牙結石沉積很厚、附著很緊密時,就刷不掉了,必須由牙醫協助才能去除。
另外由於精細食物粘性重糖分高,極易沉積於牙面,因此,應告誡兒童少吃精細食品,或吃後必須刷牙漱口。
特別是睡前吃諸如餅乾、蛋糕等精細食品,不僅容易形成牙結石,而且還會造成齲齒。所以平時一定要養成刷牙和保持口腔衛生的良好習慣。
牙結石的治療護理
1、刷牙
早晚刷牙、飯後漱口是防治牙石形成的最重要措施。使用保健牙刷,選用含氟牙膏,採用正確的方法-豎刷法進行刷牙,糾正橫刷法。
這樣不僅可清除食物殘渣、牙面菌斑、牙垢汙物,防止牙結石的形成和沉積,而且還能起到按摩牙齦,促進血液循環,增強牙周組織的抗病能力的作用。
2、飲食
合理營養,粗細搭配。多吃富有維生素的粗纖維食物,如肉、蛋、各種蔬菜和水果,充分咀嚼以利於牙面清潔。少吃甜食及粘性很強的食物,不吃零食。

sponsored ads
sponsored ads



3、口腔健康檢查

每半年進行一次口腔健康檢查,採用超聲潔牙機每年進行1-2次全口潔牙,使牙面、牙頸部經常處於潔淨狀態。
4、洗牙
超聲波洗牙,是針對清除牙齒結石部份。因為牙結石更容易造成牙菌班的堆積,造成牙齦炎、牙齦出血,牙周病。所以去除牙結石是醫療行為。當然在治療的同時,齒頸部,鄰接面的結石去除掉了,牙齒也會有美白的表現。
牙結石的分度
牙結石是附著在牙冠或牙頸部的鈣化的礦物質。牙結石的存在可引起牙齦和牙周組織病變。可以說,牙結石是牙齦病的病因之一。
沉積在齦緣或齦溝內的結石,對牙齦造成持續性的刺激和壓迫,使牙齦組織發生局部營養障礙,抗菌能力降低,牙齦易出現炎症、出血、萎縮,嚴重時可引發牙周膿腫、牙齒鬆動、脫落,破壞牙列完整,妨礙咀嚼功能,加重消化道負擔,影響機體健康。

在口腔科日常門診中,常有老年人因牙齦出血或口臭來就診。

sponsored ads
sponsored ads


經檢查,確定發生這些症狀的原因主要是牙結石。大部老年人都有程度不同的牙結石。牙結石是附著在牙齒表面的硬性斑塊,其外形似黃色幹石灰塊,較堅硬,易使牙齦出血。
牙結石的多少可分為以下幾度
0度:無軟垢及牙結石。
l度;少許軟垢或牙結石,但末超過牙面的l/3。
2度:有牙結石,末超過冠面的1/3,有少量的齦下結石。
3度:牙結石不超過冠面的2/3,有較多的齦下結石。
牙結石的預防方法
飲食
合理營養,粗細搭配。多吃富有維生素的粗纖維食物,如肉、蛋、各種蔬菜和水果,充分咀嚼以利於牙面清潔。少吃甜食及粘性很強的食物,不吃零食。
刷牙
早晚刷牙、飯後漱口是防治牙結石形成的最重要措施。使用保健牙刷,選用含氟牙膏,採用正確的方法-豎刷法進行刷牙,糾正橫刷法。

這樣不僅可清除食物殘渣、牙面菌斑、牙垢汙物,防止牙結石的形成和沉積,而且還能起到按摩牙齦,促進血液循環,增強牙周組織的抗病能力的作用。
口腔健康檢查
每半年進行一次口腔健康檢查,採用超聲潔牙機每年進行2-3次全口潔牙,使牙面、牙頸部經常處於潔淨狀態。
結語:看了小編上文的詳細的講解之後,您是不是已經知道洗牙導致牙結石的原因了呢?您是不是也已經知道牙結石的治療護理了呢?那今天小編希望您可以把今天學到的有關牙結石的預防方法的知識分享給您身邊的小夥伴們哦。



原文網址: 洗牙真的有用嗎?原來這麼多年都搞錯了!-熱講香港 http://www.hothk.com/57221#ixzz3r5zdLX4Q

 

google廣告

google廣告
 

google廣告

google廣告

 

 

轉發 分享 是一種境界

文章尾

熱門推薦

熱門推薦

 

01廣告刊版插入



這裡滾動定格

關於 EZ生活


EZ生活 一個創新多用戶部落格平台。網友可以在這裡免費創建自己的部落格頻道!分享學習的經驗。

華人最大的內容分享平臺!

重要聲明:ezp9.com分享生活網,本站所有文章由會員即時發表,本站對所有文章的真實性、完整性及立場等,不負任何法律責任。 所有文章內容只代表發文者個人意見,並非本網站之立場,用戶不應信賴內容,並應自行判斷內容之真實性。發文者擁有在ezp9張貼的文章。 由於本站是受到「即時發表」運作方式所規限,故不能完全監察所有即時文章,如有不適當或對於文章出處有疑慮,請聯絡我們告知,我們將在最短時間內進行撤除。
若有任何文章侵犯到您的權益,請瑱妥 著作權侵害通知書 ,本站將會在24小時內刪除或修正。
若文章或是內容有問題請 | 聯絡我們 | ,我們將會第一時間優先處理。
使用注意事項使用規則Facebook隱私權條款隱私條款侵權舉報著作權保護聯絡我們廣告合作