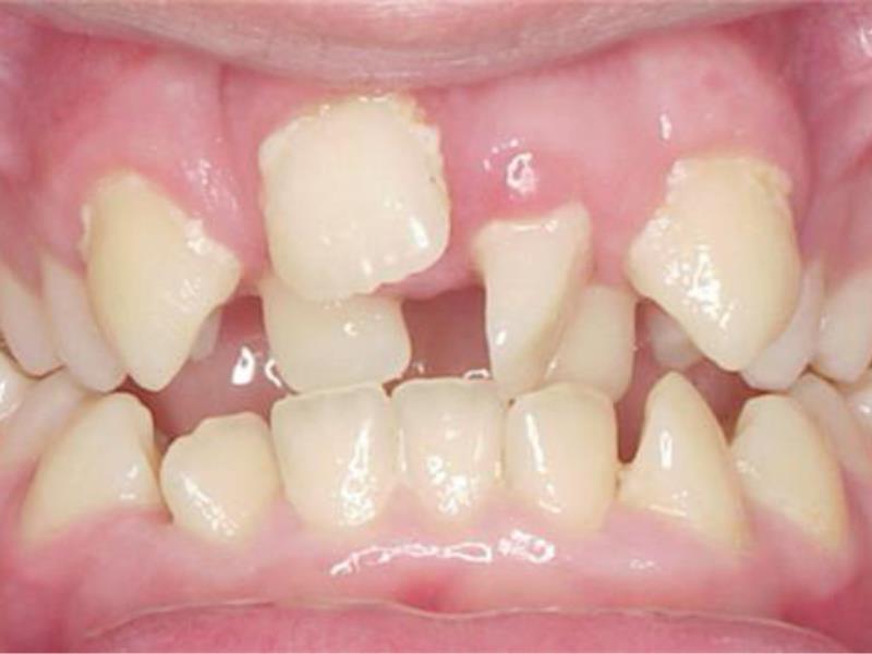
 在日常生活裡,有很多人因為在小的時候沒有對牙齒不齊引起重視,到成年之後,才意識到牙齒不齊的影響。多數人認為人到了成年之後,牙齒已經定型,所以擔心沒有效果而遲遲沒有矯正。 那麼,成年人牙齒不齊可以矯正嗎? 1成人牙齒矯正,無年齡限製 不少成年人心中會有顧慮,自己的牙齒已定型多年,不比剛長出恆牙還處於生長發育期的青少年,錯位的牙齒還能被矯正回來嗎?實際上是一種誤區。原因在於人的牙槽骨一生都處於變化之中,因此任何年齡段的人進行牙齒矯正都沒有限製。由於成年人的牙槽骨修復能力低於青少年或兒童,因此成人正畸的療程一般會比較長。 2牙齒不齊,影響的不止是美觀 過去大家常會認為,牙齒的作用就是吃飯咬東西,長得醜點不影響什麼。
| sponsored ads |
|
|
| sponsored ads |
隨著健康意識和審美觀念的提高,大家開始認識到牙齒是臉部的一道重要風景線,並且在說話、咀嚼、吞嚥中發揮著重要的作用。 比如,牙列不齊的患者很容易發生齲齒、牙齦炎及牙周炎等口腔問題,而這些都是造成牙齒鬆動、脫落的主要原因。我們常說的「地包天」、「齙牙」其實都是牙齒不齊的臨床表現,這些患者不僅忍受著口腔疾病的威脅,還會在社交、工作、就業時感到諸多不便。 
3牙齒矯正導致「牙鬆動」是典型誤區 一些人認為,成人做完牙齒矯正後會使牙齒鬆動、脫落,這種觀點也有一定的片面性。如果是正規醫院的正畸專業醫師,在進行矯治前都會同患者進行深度溝通,採用合理的矯治方案,在矯治時合理加力,不但不會造成牙齒脫落,反而會讓牙齒更健康,壽命更長。原因在於通過正畸可以使牙齒的排列和咬合更為合理,一些牙周疾病也可以得到較好的預防和控製,從而更有利於牙齒的保健。
| sponsored ads |
|
|
| sponsored ads |
4為什麼成年人牙齒矯正難度比青少年大 這主要是由於成年人生長發育已停止,骨代謝及牙槽骨改建比較緩慢,牙齒移動速度相對緩慢,所需的牙齒矯正矯治時間較兒童長。但由於成人的配合程度高,以及成年人的一些特點,成人牙齒矯正的效果有時甚至超過兒童牙齒矯正。 牙齒矯正的種類介紹自鎖正畸托槽矯治過程舒適高效、衛生  自鎖正畸托槽是指在正畸治療中,用一種專用的黏結劑固定在牙齒表面的一種金屬或陶瓷等材料製成的將置,用於容納和固定正畸鋼絲,傳遞矯治力到牙齒,從而達到牙齒矯正的目的。降低鋼絲與托槽的摩擦阻力,牙齒移動速度加快,整個矯治過程有效縮短。 ☆優勢:延長複診時間間隔,矯治過程舒適高效,更衛生。 ☆劣勢:對美觀有一定影響,有患者不喜歡鐵嘴鋼牙形象。 隱形透明無托槽矯正無異物感、易摘取 隱形透明無托槽矯正是正畸中的領先技術,利用計算機輔助三維診斷,個性化設計及數字化成型技術,一改傳統正畸過程中的「鐵嘴鋼牙」形象,能在無鋼絲、無托槽的狀態下不知不覺完成矯治,滿足了人們既矯治牙齒又不影響美觀的需求。因此很受女性的青睞。
| sponsored ads |
|
|
| sponsored ads |
陶瓷托槽矯正提高矯正效果、托槽拆卸 陶瓷托槽矯正是目前普遍的牙齒矯正方法之一,使用氧化鋁陶瓷托槽,近乎透明且體積較小,粘在牙齒上隱蔽性較好,使得矯治過程悄然完成。受力均勻,不易脫落,內襯金屬槽溝,有助於鋼絲自由滑動,矯治效果好。 舌側隱形矯正不影響美觀 舌側隱形矯正是將矯治器全部安裝於牙齒的舌側面進行正畸治療,外觀上看不到任何矯正裝置。經多年研究,目前被廣泛運用。加以計算機輔助設計製術術,擁有隱形、精確、簡捷等優點,深受醫生和成年朋友們喜愛。 此外,如果要做舌側矯正也要選擇大的口腔連鎖機構進行。因為該技術在牙後操作,技術難度很高,需要醫生具有豐富的操作經驗。
|