現在我們不少家長都在意孩子的吃穿問題,而對於口腔健康狀況的關心和知識積累相當有限。其實,如果口腔出現問題,也可能會危害寶寶的健康,要是病,得治啊!《醫知袋鼠》本期育兒播報告訴您為何要從小護好寶寶的口腔!
在很多父母眼中,寶寶流口水是再正常不過的生理現象了。不過,如果寶寶到了2~3歲牙齒長齊後,口水仍流個不停,就要小心寶寶有罹患口腔、咽喉黏膜炎症等疾病的可能。

最近在兒科門診,一位家長焦急地對醫生說:“我兒子最近老是流口水,厭食,這幾天沒吃好飯,人也沒精神,臉色也不好,趕緊帶他來醫院看看,別耽誤孩子治病。”
經醫生診斷,原來孩子是得了皰疹性咽峽炎。這種病由皰疹病毒引起,在齒齦、黏膜、舌及上齶、咽部出現小皰疹,皰疹破潰後成為潰瘍,上面有淡黃色的分泌物覆蓋,旁邊有一圈紅暈。
| sponsored ads |
|
|
| sponsored ads |
因為口腔潰瘍引起劇烈疼痛,所以孩子也就吃嘛嘛不香,胃口倍兒差了。由於口腔黏膜受到炎症刺激,唾液分泌增加,從而加重了小兒流口水現象。
看來寶寶的口腔出了問題,明智之舉還得要及時就醫,千萬不要輕信偏方啊,否則後果不堪設想!
32歲的劉女士剖腹產下兒子,寶寶兩個月大時,患上鵝口瘡。

原來,孩子的外婆支招:將淘米水放一周後,用來灌洗孩子的嘴跟舌,洗幾次後就可見效。孩子的媽媽沒有多思考便照做。連續洗了兩次後,孩子的病情沒有改善,反而突然高燒,口腔內的白點也潰爛了。
| sponsored ads |
|
|
| sponsored ads |
孩子媽媽急忙帶孩子趕到兒童醫院,此時,孩子已經因感染得了敗血症,醫生說,如果再晚送來幾天,孩子就有生命危險。
鵝口瘡俗稱“雪口”,是口腔粘膜受白色念珠菌(屬黴菌)感染所致,一般多發於新生兒。如果寶寶長了鵝口瘡,爸爸媽們也不要著急,可用棉簽蘸些製黴菌素塗在患處,一般1-3天即可見效。配製方法是用10ml的溫開水加1片製黴菌素就行了;但需要注意的是,鵝口瘡容易復發,治療見效後應再堅持繼續塗抹3-4天。
無獨有偶,長春一位奶奶也用“土方”害了才3歲的孫女。情況是這樣的,由於孩子的口腔潰瘍一直不見好,所以孩子的奶奶用喝薑湯和抹鹽這種方法給孩子治療。可是沒想到孩子口腔裡的潰瘍面不僅沒有好轉反而加重,最後只得到醫院進行治療。
醫生表示,孩子奶奶用喝薑湯和抹鹽的“土方”治療確實不對。
| sponsored ads |
|
|
| sponsored ads |
鹽雖然可以消炎,但是卻會對潰瘍面造成很大的負面刺激。患口腔潰瘍後,應該保持飲食清淡並多休息,一般一周左右就會自愈。不過要是長時間不見好或者反復發作,那很可能意味著身體其他部位出問題了,應立即就醫。
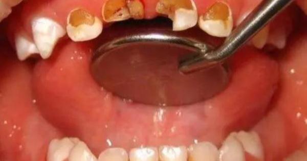
其實,孩子口腔出了問題多數也是家長不上心。比如有些父母沒有做好寶寶的牙齒護理工作,而導致齲齒。近日,一歲十個月的女孩小柳丁被媽媽帶到醫院就診。小柳丁媽媽介紹,最近她發現孩子不愛吃飯,還總用手摳牙,細看發現孩子兩顆上門牙已有了小洞,這才趕緊來醫院檢查。

檢查後,寶寶的牙齒被確診為“乳牙齲”,且12顆牙齒均有不同程度的齲壞,而最嚴重的就是裡面的4顆磨牙。這4顆牙已變成黑褐色,看上去很軟,醫生說現在這種情況只能拔了。
很多家長覺得孩子的乳牙壞了沒所謂,反正還會再萌出恒牙。
| sponsored ads |
|
|
| sponsored ads |
其實,如果蟲牙是一顆乳牙,會影響它所對應的恒牙發育。
此外,“蟲牙”不僅會使牙齒變黑,還會讓寶寶因為牙疼而使咀嚼能力和食欲下降,影響寶寶的生長發育;當“蟲牙”發展到一定程度,牙齒會鬆弛、脫落,影響發音;附著在“蟲牙”上面的細菌,如果隨血液而傳播到身體其他組織,會引發敗血症、心肌炎等。
想必各位家長都長記性了。不過,除了寶寶的乳牙要細心嗬護外,它的鄰居舌頭也不能忽視。
鄰居家寶寶現在7個月大。自從添加輔食後,胃口越來越好,吃奶也挺正常。可是最近他媽媽發現他的舌苔顯得很厚,白白膩膩的,問袋鼠小編該怎麼辦?

為了瞭解病因,我還專門去問了我那在兒童醫院當主任的小姑。小姑說,這種情況大多與寶寶自身的消化能力弱有關。如果舌苔厚,且口中有酸味或大便中有奶瓣,則是明顯的消化不良。僅僅舌苔白厚,但不伴有其他症狀,寶寶吃奶也好,則不需要特別治療。
| sponsored ads |
|
|
| sponsored ads |
如果寶寶舌苔黃厚,常伴有臉通紅、手腳心熱、大便幹、小便黃及夜間睡眠不安寧等症狀,可給服用一些消食導滯的中藥,並給寶寶多喝些溫熱的白開水,或喝一些蔬菜水。
原來如此,通過寶寶舌頭這塊“晴雨錶”還能知其病呢,袋鼠小編真想重新腦補下這門學科。
編者寄語
寶寶是口腔疾病的敏感和高發人群,父母若在這一時期掌握正確的口腔護理知識,幫助孩子養成良好的口腔衛生習慣,改善口腔衛生狀況,這將對寶寶的健康成長起著至關重要的作用。家長們,可千萬別小看口腔問題,要是病,得治!!
|