|
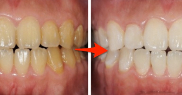
你有沒有聽說過茶漬牙、咖啡牙?這些都是因為沒能及時去除食物殘留在牙齒表面的汙垢,久而久之形成了牙垢導致牙齒越來越黃產生的問題。但日常的刷牙並不能真正地把牙齒變得很乾凈,很多人的牙齒都泛黃或者發黑。你能想像一個大美女漂票亮亮的,笑起來卻是一口黃牙嗎?這裏要跟大家分享5分鐘除牙垢的方法,有效又簡單,在家就能輕輕鬆鬆清潔牙齒!
牙垢是什麼?
常說的牙垢,實際上包括牙菌斑、軟垢和牙結石等幾部分。牙菌斑是不可見的,但它是牙周病的罪魁禍首。軟垢是口腔裏各種殘渣的沉積物,是口腔細菌的食糧。牙結石則相當於細菌的城堡,由細菌建造用來藏匿細菌。
| sponsored ads |
|
|
| sponsored ads |
牙垢的問題不僅影響我們的牙齒美觀問題,還會引起牙齦發炎、口腔問題,所以牙垢不能留!
牙垢的問題只能預防,如果問題嚴重的是要找牙醫洗牙才能解決問題,費錢費時間還很麻煩。快來看看這5個方法,學會日常清潔牙垢,就不用總跑醫院洗牙啦!
1. 草莓去牙垢
材料:草莓一顆,發酵粉1/2茶匙。
方法:將草莓碾成糊狀,與發酵粉充分混合,用一個柔軟的牙刷將混合物均勻塗在牙齒表面,5分鐘後用牙膏將混合物刷掉,然後漱口。
體驗心得:這個方法可是編輯從美國的一本雜誌上看到的,可神奇了!雜誌上說:草莓中含有的蘋果酸可以作為一種收放劑,清除牙齒表面的汙點。當於蘋果酸和發酵粉混合時,它就成為一種天然的牙齒清潔劑,可以去除咖啡,紅酒和可樂在牙齒表面留下的汙漬。最牛的一句話就是,它可以「迅速而便宜地點亮你的微笑」。
| sponsored ads |
|
|
| sponsored ads |
看完那篇報導後,編輯直接毫不猶豫地買了3斤草莓,兩包發酵粉!用完後,那效果更是沒話說,牙齒白的像陶瓷一樣,幸福啊!
只是可能有草莓籽殘留在牙齒縫隙中,不過可以用牙籤去除。哦,對了!要提醒大家,不要過於頻繁地使用這種方法,否則草莓中的蘋果酸會損傷牙齒的琺琅質,每周一次比較合適。
2. 食醋去牙垢
材料:食醋(陳醋、白醋都可以,但不能是醋精)
方法:將一勺醋含在嘴裏1分鐘到3分鐘,然後吐掉,刷牙。
體驗心得:效果也不錯,但牙齒會覺得非常的酸、麻(感覺會持續2分鐘左右)。不能連續使用或太經常做,大約2個月左右做一次就好了。否則對牙齒不利,是有緊急情況的時候,可以救急的方法(如出門約會前,發現牙齒好黃),還可以除口臭。
3. 紅糖刷牙法
材料:紅糖,淡鹽水
方法:先取適量紅糖放進口中,含15分鐘左右,使全口的牙齒都浸泡在糖液中,再用較硬實的牙刷反覆刷2~3分鐘,然後用淡鹽水刷牙1~2分鐘,每日早晚各1次。
體驗心得:這個方法稍微複雜,用的時間也長,但編輯連續試了一周左右後,牙垢有明顯地被清除掉喔。
| sponsored ads |
|
|
| sponsored ads |
4. 墨魚骨去牙垢
材料:墨魚骨
方法:用墨鬥魚的骨頭,碾碎成粉後放在牙刷上當牙膏使用,立桿見影。
體驗心得:墨魚(烏賊)的身體裏有塊大骨頭,是白色的,用指甲刮一刮,能出來很多白色粉末,把這些粉末當牙膏用,就可以牙齒變白。

5. 檸檬汁去牙垢
材料:新鮮檸檬
方法:檸檬去皮,榨成汁。刷完牙後,用棉簽沾檸檬汁擦每一顆牙齒。要細緻地擦,但不要蘸太多的汁,每次4滴或5滴就可以了,來回蘸個6次就全部擦拭到。其原理和食醋差不多,不僅去牙垢,還能美白牙齒清新口氣。
體驗心得:用檸檬汁的方法要注意不要著急,一定要把牙齒全部擦到,否則第二天牙齒的顏色會很不均勻。並且檸檬有一定的酸性,所以用的時候不要貪多,否則會傷害到牙齒和牙齦。
只要照著做就能擁有健康美齒囉~分享出去吧!
|