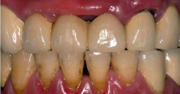
 一名55歲婦產科醫師,平時潔牙習慣不好,牙齒壞光光,多年前砸了上百萬植了9顆牙齒,卻開始出現口臭問題,結果女友無法忍受,一個接著一個跑走,令他困擾不已;3年前,他牙痛到受不了,就醫檢查才發現,原來牙周病是引起口臭的禍首,植牙還壞了3顆。 收治個案的台大醫院牙周病專科兼主治醫師林保瑩指出,為患者進行口腔檢查發現,其有輕微牙周病,且併發骨膜炎,進一步X光檢查發現,原本的9顆植牙壞了3顆、1顆根本沒裝好。
林保瑩表示,首先將患者壞掉的植體拔除,經過3年的牙周病治療,病情獲得改善後,才植了2顆新的植牙、補修1顆植牙,加上治療牙周病費用至少超過50萬。 「植牙絕非一勞永逸!」林保瑩強調,植牙前必須先評估口腔狀況是否有牙周病,以免牙周細菌造成植體周圍發炎破壞,進而植牙壞損。根據台大牙周病科及歐洲臨床統計,有種植體問題而到院求診的民眾,約5成植過牙者或3成植牙會有種植體牙周病的現象,建議患者應治療牙周病在植牙,平時也應養成潔牙的好習慣,並定期回診檢查。
|